Products

Calcitonin rabbit pAb
One-click to copy product information
ES8609
Size: Price:
50 µL $148.00
100 µL $248.00

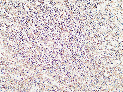
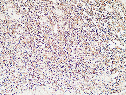
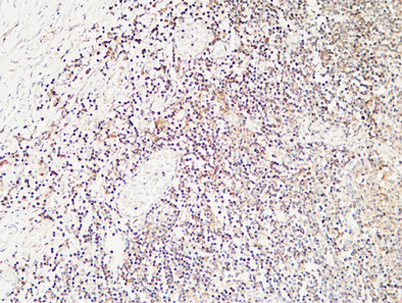
Overview

Product name: Calcitonin rabbit pAb
Reactivity: Human;Rat;Mouse;
Alternative Names: Calcitonin [Cleaved into: Calcitonin; Katacalcin (Calcitonin carboxyl-terminal peptide;CCP;PDN-21)]
Source: Rabbit
Dilutions: IHC-p: 100-300.WB 1:500-2000, ELISA 1:10000-20000
Immunogen: Synthetic peptide from human protein at AA range: 80-141
Storage: -20°C/1 year
Clonality: Polyclonal
Isotype: IgG
Concentration: 1 mg/ml
Observed Band: 16kD
GeneID: 796
Human Swiss-Prot No: P01258
Cellular localization: Secreted.
Background: function:Calcitonin causes a rapid but short-lived drop in the level of calcium and phosphate in blood by promoting the incorporation of those ions in the bones.,function:CGRP induces vasodilation. It dilates a variety of vessels including the coronary, cerebral and systemic vasculature. Its abundance in the CNS also points toward a neurotransmitter or neuromodulator role. It also elevates platelet cAMP.,function:Katacalcin is a potent plasma calcium-lowering peptide.,online information:Calcitonin entry,similarity:Belongs to the calcitonin family.,