$148.00/50µL $248.00/100µL
| 50 µL | $148.00 |
| 100 µL | $248.00 |
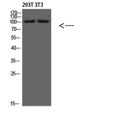
| Product name: | PI 3 Kinase Class 3 rabbit pAb |
| Reactivity: | Human;Mouse;Rat;Predicted:Cow:PIG |
| Alternative Names: | phosphoinositide-3-kinase, class 3 |
| Source: | Rabbit |
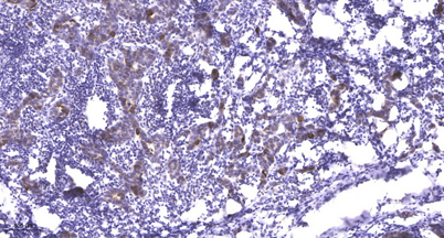
| Dilutions: | WB 1:500-2000;IHC-p 1:50-300 |
| Immunogen: | Synthetic Peptide of PI 3 Kinase Class 3 |
| Storage: | -20°C/1 year |
| Clonality: | Polyclonal |
| Isotype: | IgG |
| Concentration: | 1 mg/ml |
| Observed Band: | 100kD |
| GeneID: | 5289 |
| Human Swiss-Prot No: | Q8NEB9 |
| Cellular localization: | Midbody . Late endosome . Cytoplasmic vesicle, autophagosome . As component of the PI3K complex I localized to pre-autophagosome structures. As component of the PI3K complex II localized predominantly to endosomes (PubMed:14617358). Localizes also to discrete punctae along the ciliary axoneme and to the base of the ciliary axoneme (By similarity). . |
| Background: | catalytic activity:ATP + 1-phosphatidyl-1D-myo-inositol = ADP + 1-phosphatidyl-1D-myo-inositol 3-phosphate.,cofactor:Manganese.,function:Catalytic subunit of the PI3K complex. Involved in the transport of lysosomal enzyme precursors to lysosomes.,similarity:Belongs to the PI3/PI4-kinase family.,similarity:Contains 1 PI3K/PI4K domain.,subunit:Probably forms a complex with AMBRA1 and BECN1 (By similarity). Heterodimer. This subunit, part of a complex composed of regulatory and catalytic subunits, associates with regulatory subunit PIK3R4.,tissue specificity:Ubiquitously expressed, with a highest expression in skeletal muscle., |

