Products

HGF rabbit pAb
One-click to copy product information
ES8380
Size: Price:
50 µL $148.00
100 µL $248.00

Overview

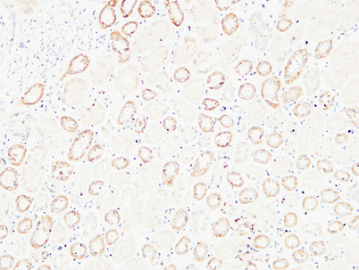
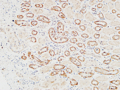
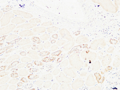
Product name: HGF rabbit pAb
Reactivity: Human;Rat;Mouse;
Alternative Names: HGF; HPTA; Hepatocyte growth factor; Hepatopoietin-A; Scatter factor; SF
Source: Rabbit
Dilutions: IHC-p: 100-300.Western Blot: 1/500 - 1/2000. ELISA: 1/10000. Not yet tested in other applications.
Immunogen: The antiserum was produced against synthesized peptide derived from the Internal region of human HGF. AA range:500-600
Storage: -20°C/1 year
Clonality: Polyclonal
Isotype: IgG
Concentration: 1 mg/ml
Observed Band: 80kD
GeneID: 3082
Human Swiss-Prot No: P14210
Cellular localization: extracellular region,extracellular space,membrane,platelet alpha granule lumen,
Background: This gene encodes a protein that binds to the hepatocyte growth factor receptor to regulate cell growth, cell motility and morphogenesis in numerous cell and tissue types. Alternative splicing results in multiple transcript variants, at least one of which encodes a preproprotein that is proteolytically processed to generate alpha and beta chains, which form the mature heterodimer. This protein is secreted by mesenchymal cells and acts as a multi-functional cytokine on cells of mainly epithelial origin. This protein also plays a role in angiogenesis, tumorogenesis, and tissue regeneration. Although the encoded protein is a member of the peptidase S1 family of serine proteases, it lacks peptidase activity. Mutations in this gene are associated with nonsyndromic hearing loss. [provided by RefSeq, Nov 2015],