Products

Thrombospondin 2 rabbit pAb
One-click to copy product information
ES8379
Size: Price:
50 µL $148.00
100 µL $248.00

Overview

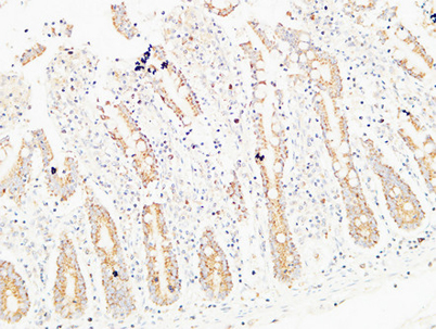
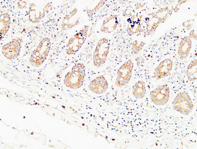
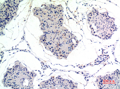
Product name: Thrombospondin 2 rabbit pAb
Reactivity: Human;Mouse;Rat
Alternative Names: THBS2; TSP2; Thrombospondin-2
Source: Rabbit
Dilutions: Western Blot: 1/500 - 1/2000. IHC-p: 1:100-1:300. ELISA: 1/10000. Not yet tested in other applications.
Immunogen: The antiserum was produced against synthesized peptide derived from the C-terminal region of human THBS2. AA range:1000-1050
Storage: -20°C/1 year
Clonality: Polyclonal
Isotype: IgG
Concentration: 1 mg/ml
Observed Band: 130kD
GeneID: 7058
Human Swiss-Prot No: P35442
Cellular localization: extracellular region,basement membrane,extracellular matrix,platelet alpha granule,
Background: thrombospondin 2(THBS2) Homo sapiens The protein encoded by this gene belongs to the thrombospondin family. It is a disulfide-linked homotrimeric glycoprotein that mediates cell-to-cell and cell-to-matrix interactions. This protein has been shown to function as a potent inhibitor of tumor growth and angiogenesis. Studies of the mouse counterpart suggest that this protein may modulate the cell surface properties of mesenchymal cells and be involved in cell adhesion and migration. [provided by RefSeq, Jul 2008],