$148.00/50µL $248.00/100µL
| 50 µL | $148.00 |
| 100 µL | $248.00 |
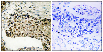
| Product name: | MSK1 (phospho Ser212) rabbit pAb |
| Reactivity: | Human;Mouse |
| Alternative Names: | RPS6KA5; MSK1; Ribosomal protein S6 kinase alpha-5; S6K-alpha-5; 90 kDa ribosomal protein S6 kinase 5; Nuclear mitogen- and stress-activated protein kinase 1; RSK-like protein kinase; RSKL |
| Source: | Rabbit |
| Dilutions: | Western Blot: 1/500 - 1/2000. Immunohistochemistry: 1/100 - 1/300. ELISA: 1/40000. Not yet tested in other applications. |
| Immunogen: | The antiserum was produced against synthesized peptide derived from human MSK1 around the phosphorylation site of Ser212. AA range:181-230 |
| Storage: | -20°C/1 year |
| Clonality: | Polyclonal |
| Isotype: | IgG |
| Concentration: | 1 mg/ml |
| Observed Band: | 90kD |
| GeneID: | 9252 |
| Human Swiss-Prot No: | O75582 |
| Cellular localization: | Nucleus. Cytoplasm. Predominantly nuclear. Exported into cytoplasm in response to glucocorticoid. |
| Background: | catalytic activity:ATP + a protein = ADP + a phosphoprotein.,cofactor:Magnesium.,enzyme regulation:Appears to be activated by multiple phosphorylations on threonine and serine residues. ERK1/2 and MAPK14/p38-alpha may play a role in this process.,function:Serine/threonine kinase required for the mitogen or stress-induced phosphorylation of the transcription factors CREB (cAMP response element-binding protein) and ATF1 (activating transcription factor-1). Essential role in the control of RELA transcriptional activity in response to TNF. Directly represses transcription via phosphorylation of 'Ser-1' of histone H2A. Phosphorylates 'Ser-10' of histone H3 in response to mitogenics, stress stimuli and epidemal growth-factor (EGF), which results in the transcriptional activation of several immediate early genes, including proto-oncogenes c-fos/FOS and c-jun/JUN. May also phosphorylate 'Ser-28' of histone H3. Mediates the mitogen- and stress-induced phosphorylation of high mobility group protein 14 (HMG-14).,miscellaneous:Enzyme activity requires the presence of both kinase domains.,PTM:Ser-376 and Thr-581 phosphorylation is required for kinase activity. Ser-376 and Ser-212 are autophosphorylated by the C-terminal kinase domain, and their phosphorylation is essential for the catalytic activity of the N-terminal kinase domain.,similarity:Belongs to the protein kinase superfamily. AGC Ser/Thr protein kinase family. S6 kinase subfamily.,similarity:Contains 1 AGC-kinase C-terminal domain.,similarity:Contains 2 protein kinase domains.,subcellular location:Predominantly nuclear. Partially cytoplasmic.,subunit:Forms a complex with either ERK1 or ERK2 in quiescent cells which transiently dissociates following mitogenic stimulation. Also associates with MAPK14/p38-alpha. Activated RPS6KA5 associates with and phosphorylates the NF-kappa-B p65 subunit RELA.,tissue specificity:Widely expressed with high levels in heart, brain and placenta. Less abundant in lung, kidney and liver., |



