$148.00/50µL $248.00/100µL
| 50 µL | $148.00 |
| 100 µL | $248.00 |
| Product name: | ARK-2 (phospho Thr232) rabbit pAb |
| Reactivity: | Human;Mouse;Rat;Monkey |
| Alternative Names: | AURKB; AIK2; AIM1; AIRK2; ARK2; STK1; STK12; STK5; Aurora kinase B; Aurora 1; Aurora- and IPL1-like midbody-associated protein 1; AIM-1; Aurora/IPL1-related kinase 2; ARK-2; Aurora-related kinase 2; STK-1; Serine/threonine-protein kinase 12 |
| Source: | Rabbit |
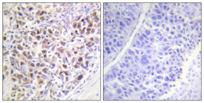
| Dilutions: | Western Blot: 1/500 - 1/2000. Immunohistochemistry: 1/100 - 1/300. Immunofluorescence: 1/200 - 1/1000. ELISA: 1/20000. Not yet tested in other applications. |
| Immunogen: | The antiserum was produced against synthesized peptide derived from human AurB around the phosphorylation site of Thr232. AA range:198-247 |
| Storage: | -20°C/1 year |
| Clonality: | Polyclonal |
| Isotype: | IgG |
| Concentration: | 1 mg/ml |
| Observed Band: | 39kD |
| GeneID: | 9212 |
| Human Swiss-Prot No: | Q96GD4 |
| Cellular localization: | Nucleus . Chromosome . Chromosome, centromere . Chromosome, centromere, kinetochore . Cytoplasm, cytoskeleton, spindle . Midbody . Localizes on chromosome arms and inner centromeres from prophase through metaphase and then transferring to the spindle midzone and midbody from anaphase through cytokinesis (PubMed:20929775). Colocalized with gamma tubulin in the midbody (PubMed:17726514). Proper localization of the active, Thr-232-phosphorylated form during metaphase may be dependent upon interaction with SPDYC (PubMed:20605920). Colocalized with SIRT2 during cytokinesis with the midbody (PubMed:17726514). Localization (and probably targeting of the CPC) to the inner centromere occurs predominantly in regions with overlapping mitosis-specific histone phosphorylations H3pT3 and H2ApT12 (PubMed |
| Background: | This gene encodes a member of the aurora kinase subfamily of serine/threonine kinases. The genes encoding the other two members of this subfamily are located on chromosomes 19 and 20. These kinases participate in the regulation of alignment and segregation of chromosomes during mitosis and meiosis through association with microtubules. A pseudogene of this gene is located on chromosome 8. Alternatively spliced transcript variants have been found for this gene. [provided by RefSeq, Sep 2015], |



