$148.00/50µL $248.00/100µL
| 50 µL | $148.00 |
| 100 µL | $248.00 |
| Product name: | Atg4C rabbit pAb |
| Reactivity: | Human;Monkey |
| Alternative Names: | ATG4C; APG4C; AUTL1; AUTL3; Cysteine protease ATG4C; AUT-like 3 cysteine endopeptidase; Autophagin-3; Autophagy-related cysteine endopeptidase 3; Autophagy-related protein 4 homolog C |
| Source: | Rabbit |
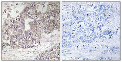
| Dilutions: | Western Blot: 1/500 - 1/2000. Immunohistochemistry: 1/100 - 1/300. Immunofluorescence: 1/200 - 1/1000. ELISA: 1/20000. Not yet tested in other applications. |
| Immunogen: | The antiserum was produced against synthesized peptide derived from human ATG4C. AA range:21-70 |
| Storage: | -20°C/1 year |
| Clonality: | Polyclonal |
| Isotype: | IgG |
| Concentration: | 1 mg/ml |
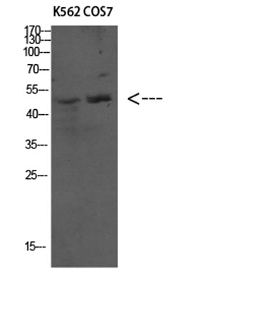
| Observed Band: | 49kD |
| GeneID: | 84938 |
| Human Swiss-Prot No: | Q96DT6 |
| Cellular localization: | Cytoplasm . |
| Background: | Autophagy is the process by which endogenous proteins and damaged organelles are destroyed intracellularly. Autophagy is postulated to be essential for cell homeostasis and cell remodeling during differentiation, metamorphosis, non-apoptotic cell death, and aging. Reduced levels of autophagy have been described in some malignant tumors, and a role for autophagy in controlling the unregulated cell growth linked to cancer has been proposed. This gene encodes a member of the autophagin protein family. The encoded protein is also designated as a member of the C-54 family of cysteine proteases. Alternate transcriptional splice variants, encoding the same protein, have been characterized. [provided by RefSeq, Jul 2008], |



