$148.00/50µL $248.00/100µL
| 50 µL | $148.00 |
| 100 µL | $248.00 |
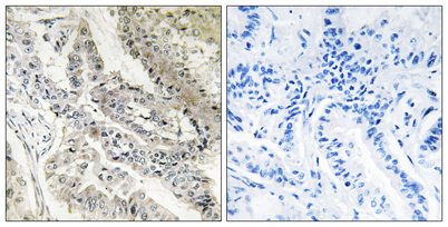
| Product name: | CRBP-III rabbit pAb |
| Reactivity: | Human;Rat;Mouse; |
| Alternative Names: | RBP5; Retinol-binding protein 5; Cellular retinol-binding protein III; CRBP-III; HRBPiso |
| Source: | Rabbit |
| Dilutions: | Immunohistochemistry: 1/100 - 1/300. Immunofluorescence: 1/200 - 1/1000. ELISA: 1/20000. Not yet tested in other applications. |
| Immunogen: | The antiserum was produced against synthesized peptide derived from human CRBP III. AA range:10-59 |
| Storage: | -20°C/1 year |
| Clonality: | Polyclonal |
| Isotype: | IgG |
| Concentration: | 1 mg/ml |
| Molecular Weight: | 16kD |
| GeneID: | 83758 |
| Human Swiss-Prot No: | P82980 |
| Cellular localization: | Cytoplasm . |
| Background: | retinol binding protein 5(RBP5) Homo sapiens The protein encoded by this gene is a cellular retinol-binding protein expressed highly in kidney and liver. Down-regulation of the encoded protein in hepatocellular carcinoma was associated with large tumor size and poor patient survival rates. [provided by RefSeq, Jul 2016], |

