$148.00/50µL $248.00/100µL
| 50 µL | $148.00 |
| 100 µL | $248.00 |
| Product name: | TH (phospho Ser62) rabbit pAb |
| Reactivity: | Human;Mouse;Rat;Monkey |
| Alternative Names: | TH; TYH; Tyrosine 3-monooxygenase; Tyrosine 3-hydroxylase; TH |
| Source: | Rabbit |
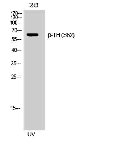
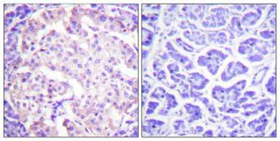
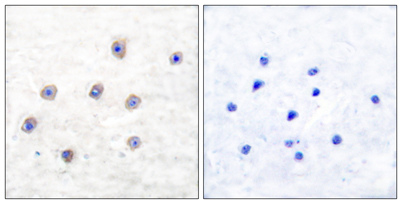
| Dilutions: | Western Blot: 1/500 - 1/2000. Immunohistochemistry: 1/100 - 1/300. ELISA: 1/5000. Not yet tested in other applications. |
| Immunogen: | The antiserum was produced against synthesized peptide derived from human Tyrosine Hydroxylase around the phosphorylation site of Ser31. AA range:1-50 |
| Storage: | -20°C/1 year |
| Clonality: | Polyclonal |
| Isotype: | IgG |
| Concentration: | 1 mg/ml |
| Observed Band: | 60kD |
| GeneID: | 7054 |
| Human Swiss-Prot No: | P07101 |
| Cellular localization: | Cytoplasm, perinuclear region . Nucleus . Cell projection, axon . Cytoplasm . Cytoplasmic vesicle, secretory vesicle, synaptic vesicle . When phosphorylated at Ser-19 shows a nuclear distribution and when phosphorylated at Ser-31 as well at Ser-40 shows a cytosolic distribution (By similarity). Expressed in dopaminergic axons and axon terminals. . |
| Background: | The protein encoded by this gene is involved in the conversion of tyrosine to dopamine. It is the rate-limiting enzyme in the synthesis of catecholamines, hence plays a key role in the physiology of adrenergic neurons. Mutations in this gene have been associated with autosomal recessive Segawa syndrome. Alternatively spliced transcript variants encoding different isoforms have been noted for this gene. [provided by RefSeq, Jul 2008], |



