$148.00/50µL $248.00/100µL
| 50 µL | $148.00 |
| 100 µL | $248.00 |
| Product name: | BLM rabbit pAb |
| Reactivity: | Human;Rat;Mouse; |
| Alternative Names: | BLM; RECQ2; RECQL3; Bloom syndrome protein; DNA helicase; RecQ-like type 2; RecQ2; RecQ protein-like 3 |
| Source: | Rabbit |
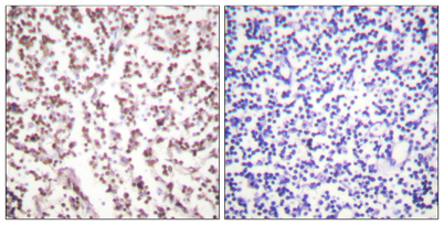
| Dilutions: | Immunohistochemistry: 1/100 - 1/300. Immunofluorescence: 1/200 - 1/1000. ELISA: 1/5000. Not yet tested in other applications. |
| Immunogen: | The antiserum was produced against synthesized peptide derived from human Bloom Syndrome. AA range:65-114 |
| Storage: | -20°C/1 year |
| Clonality: | Polyclonal |
| Isotype: | IgG |
| Concentration: | 1 mg/ml |
| Molecular Weight: | 159kD |
| GeneID: | 641 |
| Human Swiss-Prot No: | P54132 |
| Cellular localization: | Nucleus . Together with SPIDR, is redistributed in discrete nuclear DNA damage-induced foci following hydroxyurea (HU) or camptothecin (CPT) treatment. Accumulated at sites of DNA damage in a RMI complex- and SPIDR-dependent manner. |
| Background: | The Bloom syndrome gene product is related to the RecQ subset of DExH box-containing DNA helicases and has both DNA-stimulated ATPase and ATP-dependent DNA helicase activities. Mutations causing Bloom syndrome delete or alter helicase motifs and may disable the 3'-5' helicase activity. The normal protein may act to suppress inappropriate recombination. [provided by RefSeq, Jul 2008], |

