$148.00/50µL $248.00/100µL
| 50 µL | $148.00 |
| 100 µL | $248.00 |
| Product name: | MEK-7 (phospho Ser271) rabbit pAb |
| Reactivity: | Human;Mouse;Rat |
| Alternative Names: | MAP2K7; JNKK2; MEK7; MKK7; PRKMK7; SKK4; Dual specificity mitogen-activated protein kinase kinase 7; MAP kinase kinase 7; MAPKK 7; JNK-activating kinase 2; MAPK/ERK kinase 7; MEK 7; Stress-activated protein kinase kinase 4; SAPK kinase 4; S |
| Source: | Rabbit |
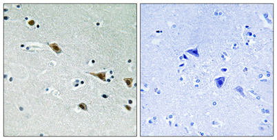
| Dilutions: | Western Blot: 1/500 - 1/2000. Immunohistochemistry: 1/100 - 1/300. ELISA: 1/20000. Not yet tested in other applications. |
| Immunogen: | The antiserum was produced against synthesized peptide derived from human MAP2K7 around the phosphorylation site of Ser271. AA range:236-285 |
| Storage: | -20°C/1 year |
| Clonality: | Polyclonal |
| Isotype: | IgG |
| Concentration: | 1 mg/ml |
| Observed Band: | 47kD |
| GeneID: | 5609 |
| Human Swiss-Prot No: | O14733 |
| Cellular localization: | Nucleus. Cytoplasm . |
| Background: | The protein encoded by this gene is a dual specificity protein kinase that belongs to the MAP kinase kinase family. This kinase specifically activates MAPK8/JNK1 and MAPK9/JNK2, and this kinase itself is phosphorylated and activated by MAP kinase kinase kinases including MAP3K1/MEKK1, MAP3K2/MEKK2,MAP3K3/MEKK5, and MAP4K2/GCK. This kinase is involved in the signal transduction mediating the cell responses to proinflammatory cytokines, and environmental stresses. Alternative splicing results in multiple transcript variants. [provided by RefSeq, Jul 2014], |



