$148.00/50µL $248.00/100µL
| 50 µL | $148.00 |
| 100 µL | $248.00 |
| Product name: | MEK-1 (phospho Thr292) rabbit pAb |
| Reactivity: | Human;Mouse;Rat |
| Alternative Names: | MAP2K1; MEK1; PRKMK1; Dual specificity mitogen-activated protein kinase kinase 1; MAP kinase kinase 1; MAPKK 1; MKK1; ERK activator kinase 1; MAPK/ERK kinase 1; MEK 1 |
| Source: | Rabbit |
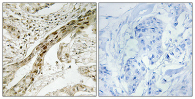
| Dilutions: | Western Blot: 1/500 - 1/2000. Immunohistochemistry: 1/100 - 1/300. Immunofluorescence: 1/200 - 1/1000. ELISA: 1/10000. Not yet tested in other applications. |
| Immunogen: | The antiserum was produced against synthesized peptide derived from human MEK1 around the phosphorylation site of Thr291. AA range:261-310 |
| Storage: | -20°C/1 year |
| Clonality: | Polyclonal |
| Isotype: | IgG |
| Concentration: | 1 mg/ml |
| Observed Band: | 43kD |
| GeneID: | 5604 |
| Human Swiss-Prot No: | Q02750 |
| Cellular localization: | Cytoplasm, cytoskeleton, microtubule organizing center, centrosome . Cytoplasm, cytoskeleton, microtubule organizing center, spindle pole body . Cytoplasm . Nucleus . Membrane ; Peripheral membrane protein . Localizes at centrosomes during prometaphase, midzone during anaphase and midbody during telophase/cytokinesis (PubMed:14737111). Membrane localization is probably regulated by its interaction with KSR1 (PubMed:10409742). . |
| Background: | The protein encoded by this gene is a member of the dual specificity protein kinase family, which acts as a mitogen-activated protein (MAP) kinase kinase. MAP kinases, also known as extracellular signal-regulated kinases (ERKs), act as an integration point for multiple biochemical signals. This protein kinase lies upstream of MAP kinases and stimulates the enzymatic activity of MAP kinases upon wide variety of extra- and intracellular signals. As an essential component of MAP kinase signal transduction pathway, this kinase is involved in many cellular processes such as proliferation, differentiation, transcription regulation and development. [provided by RefSeq, Jul 2008], |



