Products

PKC α rabbit pAb
One-click to copy product information
ES6764
Size: Price:
50 µL $148.00
100 µL $248.00

Overview

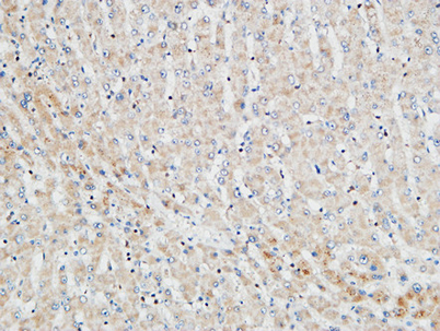
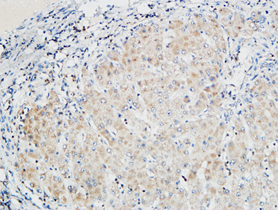
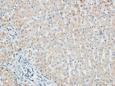
Product name: PKC α rabbit pAb
Reactivity: Human;Mouse;Rat
Alternative Names: PRKCA; PKCA; PRKACA; Protein kinase C alpha type; PKC-A; PKC-alpha
Source: Rabbit
Dilutions: Western Blot: 1/500 - 1/2000. Immunohistochemistry: 1/100 - 1/300. ELISA: 1/5000. Not yet tested in other applications.
Immunogen: The antiserum was produced against synthesized peptide derived from human PKC alpha. AA range:606-655
Storage: -20°C/1 year
Clonality: Polyclonal
Isotype: IgG
Concentration: 1 mg/ml
Observed Band: 76kD
GeneID: 5578
Human Swiss-Prot No: P17252
Cellular localization: Cytoplasm . Cell membrane ; Peripheral membrane protein . Mitochondrion membrane ; Peripheral membrane protein . Nucleus .
Background: Protein kinase C (PKC) is a family of serine- and threonine-specific protein kinases that can be activated by calcium and the second messenger diacylglycerol. PKC family members phosphorylate a wide variety of protein targets and are known to be involved in diverse cellular signaling pathways. PKC family members also serve as major receptors for phorbol esters, a class of tumor promoters. Each member of the PKC family has a specific expression profile and is believed to play a distinct role in cells. The protein encoded by this gene is one of the PKC family members. This kinase has been reported to play roles in many different cellular processes, such as cell adhesion, cell transformation, cell cycle checkpoint, and cell volume control. Knockout studies in mice suggest that this kinase may be a fundamental regulator of cardiac contractility and Ca(2+) handling in myocytes. [provided by RefSeq, Jul 2