$148.00/50µL $248.00/100µL
| 50 µL | $148.00 |
| 100 µL | $248.00 |
| Product name: | PAKγ (phospho Ser20) rabbit pAb |
| Reactivity: | Human;Mouse;Rat |
| Alternative Names: | PAK2; Serine/threonine-protein kinase PAK 2; Gamma-PAK; PAK65; S6/H4 kinase; p21-activated kinase 2; PAK-2; p58 |
| Source: | Rabbit |
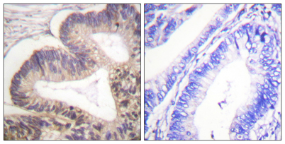
| Dilutions: | Western Blot: 1/500 - 1/2000. Immunohistochemistry: 1/100 - 1/300. ELISA: 1/40000. Not yet tested in other applications. |
| Immunogen: | The antiserum was produced against synthesized peptide derived from human PAK2 around the phosphorylation site of Ser20. AA range:5-54 |
| Storage: | -20°C/1 year |
| Clonality: | Polyclonal |
| Isotype: | IgG |
| Concentration: | 1 mg/ml |
| Observed Band: | 62kD |
| GeneID: | 5062 |
| Human Swiss-Prot No: | Q13177 |
| Cellular localization: | [Serine/threonine-protein kinase PAK 2]: Cytoplasm. MYO18A mediates the cellular distribution of the PAK2-ARHGEF7-GIT1 complex to the inner surface of the cell membrane.; [PAK-2p34]: Nucleus. Cytoplasm, perinuclear region. Membrane; Lipid-anchor. Interaction with ARHGAP10 probably changes PAK-2p34 location to cytoplasmic perinuclear region. Myristoylation changes PAK-2p34 location to the membrane. |
| Background: | The p21 activated kinases (PAK) are critical effectors that link Rho GTPases to cytoskeleton reorganization and nuclear signaling. The PAK proteins are a family of serine/threonine kinases that serve as targets for the small GTP binding proteins, CDC42 and RAC1, and have been implicated in a wide range of biological activities. The protein encoded by this gene is activated by proteolytic cleavage during caspase-mediated apoptosis, and may play a role in regulating the apoptotic events in the dying cell. [provided by RefSeq, Jul 2008], |



