$148.00/50µL $248.00/100µL
| 50 µL | $148.00 |
| 100 µL | $248.00 |
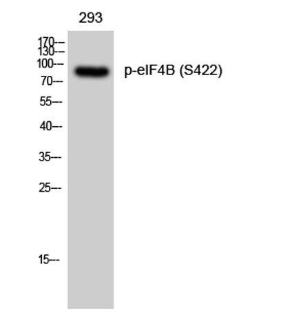
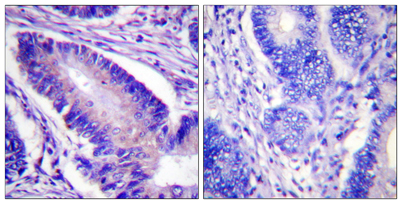
| Product name: | eIF4B (phospho Ser422) rabbit pAb |
| Reactivity: | Human;Mouse |
| Alternative Names: | EIF4B; Eukaryotic translation initiation factor 4B; eIF-4B |
| Source: | Rabbit |
| Dilutions: | Western Blot: 1/500 - 1/2000. Immunohistochemistry: 1/100 - 1/300. Immunofluorescence: 1/200 - 1/1000. ELISA: 1/40000. Not yet tested in other applications. |
| Immunogen: | The antiserum was produced against synthesized peptide derived from human eIF4B around the phosphorylation site of Ser422. AA range:388-437 |
| Storage: | -20°C/1 year |
| Clonality: | Polyclonal |
| Isotype: | IgG |
| Concentration: | 1 mg/ml |
| Observed Band: | 80kD |
| GeneID: | 3716 |
| Human Swiss-Prot No: | P23588 |
| Cellular localization: | cytosol,polysome,eukaryotic translation initiation factor 4F complex,dendrite,neuronal cell body, |
| Background: | function:Required for the binding of mRNA to ribosomes. Functions in close association with EIF4-F and EIF4-A. Binds near the 5'-terminal cap of mRNA in presence of EIF-4F and ATP. Promotes the ATPase activity and the ATP-dependent RNA unwinding activity of both EIF4-A and EIF4-F.,similarity:Contains 1 RRM (RNA recognition motif) domain.,subunit:Self-associates and interacts with EIF3 p170 subunit., |



