Products

hnRNP C1/2 (phospho Ser260) rabbit pAb
One-click to copy product information
ES5754
Size: Price:
50 µL $148.00
100 µL $248.00

Overview

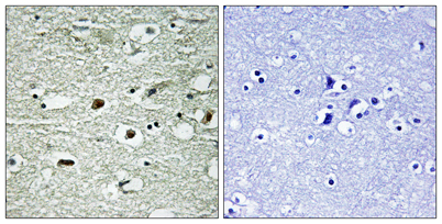
Product name: hnRNP C1/2 (phospho Ser260) rabbit pAb
Reactivity: Human;Mouse;Rat
Alternative Names: HNRNPC; HNRPC; Heterogeneous nuclear ribonucleoproteins C1/C2; hnRNP C1/C2
Source: Rabbit
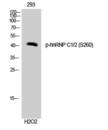
Dilutions: Western Blot: 1/500 - 1/2000. Immunohistochemistry: 1/100 - 1/300. ELISA: 1/20000. Not yet tested in other applications.
Immunogen: The antiserum was produced against synthesized peptide derived from human hnRNP C1/2 around the phosphorylation site of Ser260. AA range:231-280
Storage: -20°C/1 year
Clonality: Polyclonal
Isotype: IgG
Concentration: 1 mg/ml
Observed Band: 41kD
GeneID: 3183
Human Swiss-Prot No: P07910
Cellular localization: Nucleus. Component of ribonucleosomes.
Background: This gene belongs to the subfamily of ubiquitously expressed heterogeneous nuclear ribonucleoproteins (hnRNPs). The hnRNPs are RNA binding proteins and they complex with heterogeneous nuclear RNA (hnRNA). These proteins are associated with pre-mRNAs in the nucleus and appear to influence pre-mRNA processing and other aspects of mRNA metabolism and transport. While all of the hnRNPs are present in the nucleus, some seem to shuttle between the nucleus and the cytoplasm. The hnRNP proteins have distinct nucleic acid binding properties. The protein encoded by this gene can act as a tetramer and is involved in the assembly of 40S hnRNP particles. Multiple transcript variants encoding at least two different isoforms have been described for this gene. [provided by RefSeq, Jul 2008],