$148.00/50µL $248.00/100µL
| 50 µL | $148.00 |
| 100 µL | $248.00 |
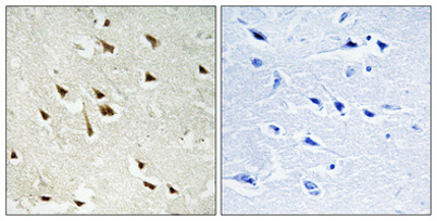
| Product name: | GRF-1 (phospho Tyr1105) rabbit pAb |
| Reactivity: | Human;Mouse;Rat |
| Alternative Names: | ARHGAP35; GRF1; GRLF1; KIAA1722; Rho GTPase-activating protein 35; Glucocorticoid receptor DNA-binding factor 1; Glucocorticoid receptor repression factor 1; GRF-1; Rho GAP p190A; p190-A |
| Source: | Rabbit |
| Dilutions: | Western Blot: 1/500 - 1/2000. Immunohistochemistry: 1/100 - 1/300. ELISA: 1/10000. Not yet tested in other applications. |
| Immunogen: | The antiserum was produced against synthesized peptide derived from human GRF-1 around the phosphorylation site of Tyr1105. AA range:1071-1120 |
| Storage: | -20°C/1 year |
| Clonality: | Polyclonal |
| Isotype: | IgG |
| Concentration: | 1 mg/ml |
| Observed Band: | 160kD |
| GeneID: | 2909 |
| Human Swiss-Prot No: | Q9NRY4 |
| Cellular localization: | Cytoplasm, cytoskeleton, cilium basal body . Cytoplasm . Nucleus . Cell membrane . In response to integrins and SDC4 and upon phosphorylation by PKC, relocalizes from the cytoplasm to regions of plasma membrane ruffling where it colocalizes with polymerized actin. . |
| Background: | The human glucocorticoid receptor DNA binding factor, which associates with the promoter region of the glucocorticoid receptor gene (hGR gene), is a repressor of glucocorticoid receptor transcription. The amino acid sequence deduced from the cDNA sequences show the presence of three sequence motifs characteristic of a zinc finger and one motif suggestive of a leucine zipper in which 1 cysteine is found instead of all leucines. The GRLF1 enhances the homologous down-regulation of wild-type hGR gene expression. Biochemical analysis suggests that GRLF1 interaction is sequence specific and that transcriptional efficacy of GRLF1 is regulated through its interaction with specific sequence motif. The level of expression is regulated by glucocorticoids. [provided by RefSeq, Jul 2008], |



