$148.00/50µL $248.00/100µL
| 50 µL | $148.00 |
| 100 µL | $248.00 |
| Product name: | CMTM4 rabbit pAb |
| Reactivity: | Human;Mouse |
| Alternative Names: | CMTM4; CKLFSF4; CKLF-like MARVEL transmembrane domain-containing protein 4; Chemokine-like factor superfamily member 4 |
| Source: | Rabbit |
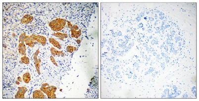
| Dilutions: | Western Blot: 1/500 - 1/2000. IHC-p: 1:100-300 ELISA: 1/20000. IF 1:100-300 Not yet tested in other applications. |
| Immunogen: | The antiserum was produced against synthesized peptide derived from human CKLF4. AA range:161-210 |
| Storage: | -20°C/1 year |
| Clonality: | Polyclonal |
| Isotype: | IgG |
| Concentration: | 1 mg/ml |
| Observed Band: | 26kD |
| GeneID: | 146223 |
| Human Swiss-Prot No: | Q8IZR5 |
| Cellular localization: | Membrane ; Multi-pass membrane protein . |
| Background: | This gene belongs to the chemokine-like factor gene superfamily, a novel family that is similar to the chemokine and the transmembrane 4 superfamilies of signaling molecules. This gene is one of several chemokine-like factor genes located in a cluster on chromosome 16. Alternatively spliced transcript variants encoding different isoforms have been identified. [provided by RefSeq, Jul 2008], |



