$148.00/50µL $248.00/100µL
| 50 µL | $148.00 |
| 100 µL | $248.00 |
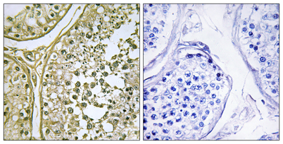
| Product name: | Casein Kinase I α1/1L rabbit pAb |
| Reactivity: | Human;Mouse;Rat |
| Alternative Names: | CSNK1A1L; Casein kinase I isoform alpha-like; CKI-alpha-like; CK1; CSNK1A1; Casein kinase I isoform alpha; CKI-alpha; CK1 |
| Source: | Rabbit |
| Dilutions: | WB 1:500-2000 Immunohistochemistry: 1/100 - 1/300. Immunofluorescence: 1/200 - 1/1000. ELISA: 1/20000. Not yet tested in other applications. |
| Immunogen: | The antiserum was produced against synthesized peptide derived from human CKI-alpha1/L. AA range:141-190 |
| Storage: | -20°C/1 year |
| Clonality: | Polyclonal |
| Isotype: | IgG |
| Concentration: | 1 mg/ml |
| Observed Band: | 30kD |
| GeneID: | 122011/1452 |
| Human Swiss-Prot No: | Q8N752/P48729 |
| Cellular localization: | Cytoplasm . |
| Background: | catalytic activity:ATP + a protein = ADP + a phosphoprotein.,function:Casein kinases are operationally defined by their preferential utilization of acidic proteins such as caseins as substrates. It can phosphorylate a large number of proteins. Participates in Wnt signaling.,similarity:Belongs to the protein kinase superfamily. CK1 Ser/Thr protein kinase family. Casein kinase I subfamily.,similarity:Contains 1 protein kinase domain., |


