$148.00/50µL $248.00/100µL
| 50 µL | $148.00 |
| 100 µL | $248.00 |
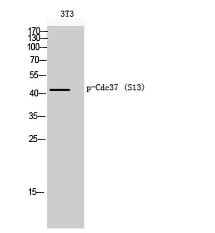
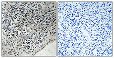
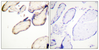
| Product name: | Cdc37 (phospho Ser13) rabbit pAb |
| Reactivity: | Human;Mouse;Rat |
| Alternative Names: | CDC37; CDC37A; Hsp90 co-chaperone Cdc37; Hsp90 chaperone protein kinase-targeting subunit; p50Cdc37 |
| Source: | Rabbit |
| Dilutions: | Western Blot: 1/500 - 1/2000. Immunohistochemistry: 1/100 - 1/300. ELISA: 1/20000. Not yet tested in other applications. |
| Immunogen: | The antiserum was produced against synthesized peptide derived from human CDC37 around the phosphorylation site of Ser13. AA range:1-50 |
| Storage: | -20°C/1 year |
| Clonality: | Polyclonal |
| Isotype: | IgG |
| Concentration: | 1 mg/ml |
| Observed Band: | 44kD |
| GeneID: | 11140 |
| Human Swiss-Prot No: | Q16543 |
| Cellular localization: | Cytoplasm . |
| Background: | The protein encoded by this gene is highly similar to Cdc 37, a cell division cycle control protein of Sacchromyces cerevisiae. This protein is a molecular chaperone with specific function in cell signal transduction. It has been shown to form complex with Hsp90 and a variety of protein kinases including CDK4, CDK6, SRC, RAF-1, MOK, as well as eIF2 alpha kinases. It is thought to play a critical role in directing Hsp90 to its target kinases. [provided by RefSeq, Jul 2008], |



