Products

C/EBP γ rabbit pAb
One-click to copy product information
ES4503
Size: Price:
50 µL $148.00
100 µL $248.00

Overview

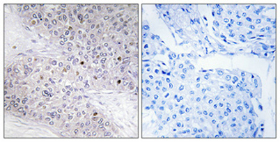
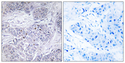
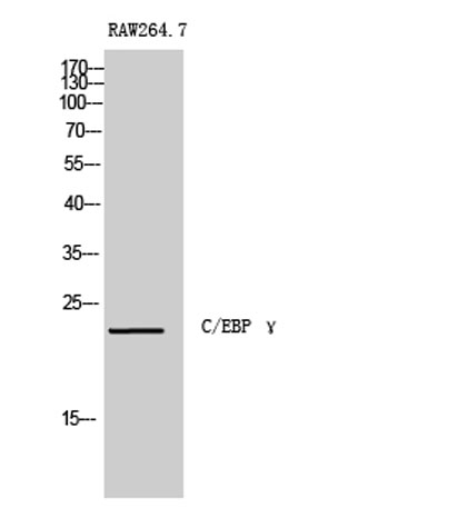
Product name: C/EBP γ rabbit pAb
Reactivity: Human;Mouse;Rat
Alternative Names: CEBPG; CCAAT/enhancer-binding protein gamma; C/EBP gamma
Source: Rabbit
Dilutions: Western Blot: 1/500 - 1/2000. Immunohistochemistry: 1/100 - 1/300. Immunofluorescence: 1/200 - 1/1000. ELISA: 1/20000. Not yet tested in other applications.
Immunogen: The antiserum was produced against synthesized peptide derived from human CEBPG. AA range:31-80
Storage: -20°C/1 year
Clonality: Polyclonal
Isotype: IgG
Concentration: 1 mg/ml
Observed Band: 22kD
GeneID: 1054
Human Swiss-Prot No: P53567
Cellular localization: Nucleus .
Background: The C/EBP family of transcription factors regulates viral and cellular CCAAT/enhancer element-mediated transcription. C/EBP proteins contain the bZIP region, which is characterized by two motifs in the C-terminal half of the protein: a basic region involved in DNA binding and a leucine zipper motif involved in dimerization. The C/EBP family consist of several related proteins, C/EBP alpha, C/EBP beta, C/EBP gamma, and C/EBP delta, that form homodimers and that form heterodimers with each other. CCAAT/enhancer binding protein gamma may cooperate with Fos to bind PRE-I enhancer elements. Two transcript variants encoding the same protein have been found for this gene. [provided by RefSeq, Nov 2011],