$148.00/50µL $248.00/100µL
| 50 µL | $148.00 |
| 100 µL | $248.00 |
| Product name: | ACK (phospho Tyr284) rabbit pAb |
| Reactivity: | Human;Mouse |
| Alternative Names: | TNK2; ACK1; Activated CDC42 kinase 1; ACK-1; Tyrosine kinase non-receptor protein 2 |
| Source: | Rabbit |
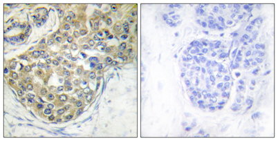
| Dilutions: | Western Blot: 1/500 - 1/2000. Immunohistochemistry: 1/100 - 1/300. Immunofluorescence: 1/200 - 1/1000. ELISA: 1/10000. Not yet tested in other applications. |
| Immunogen: | The antiserum was produced against synthesized peptide derived from human ACK1 around the phosphorylation site of Tyr284. AA range:250-299 |
| Storage: | -20°C/1 year |
| Clonality: | Polyclonal |
| Isotype: | IgG |
| Concentration: | 1 mg/ml |
| Observed Band: | 120kD |
| GeneID: | 10188 |
| Human Swiss-Prot No: | Q07912 |
| Cellular localization: | Cell membrane . Nucleus . Endosome . Cell junction, adherens junction . Cytoplasmic vesicle membrane; Peripheral membrane protein; Cytoplasmic side . Cytoplasmic vesicle, clathrin-coated vesicle . Membrane, clathrin-coated pit . Cytoplasm, perinuclear region . Cytoplasm, cytosol . The Tyr-284 phosphorylated form is found both in the membrane and nucleus (By similarity). Co-localizes with EGFR on endosomes (PubMed:20333297). Nuclear translocation is CDC42-dependent (By similarity). Detected in long filamentous cytosolic structures where it co-localizes with CTPS1 (By similarity). . |
| Background: | This gene encodes a tyrosine kinase that binds Cdc42Hs in its GTP-bound form and inhibits both the intrinsic and GTPase-activating protein (GAP)-stimulated GTPase activity of Cdc42Hs. This binding is mediated by a unique sequence of 47 amino acids C-terminal to an SH3 domain. The protein may be involved in a regulatory mechanism that sustains the GTP-bound active form of Cdc42Hs and which is directly linked to a tyrosine phosphorylation signal transduction pathway. Several alternatively spliced transcript variants have been identified from this gene, but the full-length nature of only two transcript variants has been determined. [provided by RefSeq, Jul 2008], |



