Products

4E-BP1 (phospho Thr69) rabbit pAb
One-click to copy product information
ES4385
Size: Price:
50 µL $148.00
100 µL $248.00

Overview

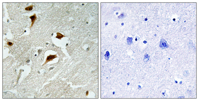
Product name: 4E-BP1 (phospho Thr69) rabbit pAb
Reactivity: Mouse;Rat
Alternative Names: EIF4EBP1; Eukaryotic translation initiation factor 4E-binding protein 1; 4E-BP1; eIF4E-binding protein 1; Phosphorylated heat- and acid-stable protein regulated by insulin 1; PHAS-I
Source: Rabbit
Dilutions: Western Blot: 1/500 - 1/2000. Immunohistochemistry: 1/100 - 1/300. ELISA: 1/20000. Not yet tested in other applications.
Immunogen: The antiserum was produced against synthesized peptide derived from mouse 4E-BP1 around the phosphorylation site of Thr69. AA range:35-84
Storage: -20°C/1 year
Clonality: Polyclonal
Isotype: IgG
Concentration: 1 mg/ml
Observed Band: 12kD
Background: EIF4EBP1 encodes one member of a family of translation repressor proteins. The eukaryotic translation initiation factor 4E binding protein 1 directly interacts with eukaryotic translation initiation factor 4E (eIF4E), which is a limiting component of the multisubunit complex that recruits 40S ribosomal subunits to the 5' end of mRNAs. Interaction of this protein with eIF4E inhibits complex assembly and represses translation. This protein is phosphorylated in response to various signals including UV irradiation and insulin signaling, resulting in its dissociation from eIF4E and activation of mRNA translation.