$148.00/50µL $248.00/100µL
| 50 µL | $148.00 |
| 100 µL | $248.00 |
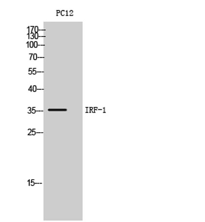
| Product name: | IRF-1 rabbit pAb |
| Reactivity: | Human;Mouse;Rat |
| Alternative Names: | IRF1; Interferon regulatory factor 1; IRF-1 |
| Source: | Rabbit |
| Dilutions: | WB 1:500-2000;IHC-p 1:50-300; ELISA 2000-20000 |
| Immunogen: | The antiserum was produced against synthesized peptide derived from the Internal region of human IRF1. AA range:91-140 |
| Storage: | -20°C/1 year |
| Clonality: | Polyclonal |
| Isotype: | IgG |
| Concentration: | 1 mg/ml |
| Observed Band: | 36kD |
| GeneID: | 3659 |
| Human Swiss-Prot No: | P10914 |
| Cellular localization: | Nucleus . Cytoplasm . MYD88-associated IRF1 migrates into the nucleus more efficiently than non-MYD88-associated IRF1. . |
| Background: | IRF1 encodes interferon regulatory factor 1, a member of the interferon regulatory transcription factor (IRF) family. IRF1 serves as an activator of interferons alpha and beta transcription, and in mouse it has been shown to be required for double-stranded RNA induction of these genes. IRF1 also functions as a transcription activator of genes induced by interferons alpha, beta, and gamma. Further, IRF1 has been shown to play roles in regulating apoptosis and tumor-suppressoion. [provided by RefSeq, Jul 2008], |

