$148.00/50µL $248.00/100µL
| 50 µL | $148.00 |
| 100 µL | $248.00 |
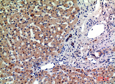
| Product name: | CD315 rabbit pAb |
| Reactivity: | Human;Mouse;Rat |
| Alternative Names: | PTGFRN; CD9P1; EWIF; FPRP; KIAA1436; Prostaglandin F2 receptor negative regulator; CD9 partner 1; CD9P-1; Glu-Trp-Ile EWI motif-containing protein F; EWI-F; Prostaglandin F2-alpha receptor regulatory protein; Prostaglandin F2-alpha receptor-associated protein; CD315 |
| Source: | Rabbit |
| Dilutions: | Western Blot: 1/500 - 1/2000. IHC-p: 1:100-300 ELISA: 1/20000. IF 1:100-300 Not yet tested in other applications. |
| Immunogen: | The antiserum was produced against synthesized peptide derived from the Internal region of human PTGFRN. AA range:601-650 |
| Storage: | -20°C/1 year |
| Clonality: | Polyclonal |
| Isotype: | IgG |
| Concentration: | 1 mg/ml |
| Observed Band: | 98kD |
| GeneID: | 5738 |
| Human Swiss-Prot No: | Q9P2B2 |
| Cellular localization: | Endoplasmic reticulum membrane ; Single-pass type I membrane protein . Golgi apparatus, trans-Golgi network membrane ; Single-pass type I membrane protein . |
| Background: | function:Inhibits the binding of prostaglandin F2-alpha (PGF2-alpha) to its specific FP receptor, by decreasing the receptor number rather than the affinity constant. Functional coupling with the prostaglandin F2-alpha receptor seems to occur.,sequence caution:Translated as Gln.,similarity:Contains 6 Ig-like C2-type (immunoglobulin-like) domains.,subunit:Interacts with CD9 and CD81. Also seems to interacts with CD63, CD82 and CD151., |


