Products

Tenascin-C rabbit pAb
One-click to copy product information
ES4278
Size: Price:
50 µL $148.00
100 µL $248.00

Overview

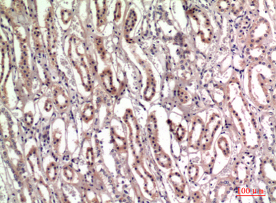
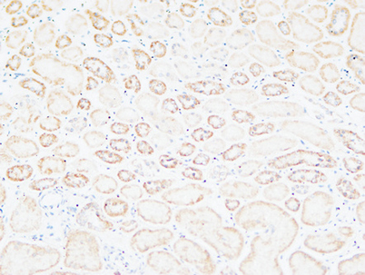
Product name: Tenascin-C rabbit pAb
Reactivity: Human;Mouse;Rat
Alternative Names: TNC; HXB; Tenascin; TN; Cytotactin; GMEM; GP 150-225; Glioma-associated-extracellular matrix antigen; Hexabrachion; JI; Myotendinous antigen; Neuronectin; Tenascin-C; TN-C
Source: Rabbit
Dilutions: Western Blot: 1/500 - 1/2000. IHC-p: 1:100-1:300. ELISA: 1/10000. Not yet tested in other applications.
Immunogen: The antiserum was produced against synthesized peptide derived from the C-terminal region of human TNC. AA range:2151-2200
Storage: -20°C/1 year
Clonality: Polyclonal
Isotype: IgG
Concentration: 1 mg/ml
Observed Band: 240kD
GeneID: 3371
Human Swiss-Prot No: P24821
Cellular localization: Secreted, extracellular space, extracellular matrix.
Background: tenascin C(TNC) Homo sapiens This gene encodes an extracellular matrix protein with a spatially and temporally restricted tissue distribution. This protein is homohexameric with disulfide-linked subunits, and contains multiple EGF-like and fibronectin type-III domains. It is implicated in guidance of migrating neurons as well as axons during development, synaptic plasticity, and neuronal regeneration. [provided by RefSeq, Jul 2011],