Products

AR rabbit pAb
One-click to copy product information
ES4268
Size: Price:
50 µL $148.00
100 µL $248.00

Overview

Product name: AR rabbit pAb
Reactivity: Human;Mouse;Rat
Alternative Names: AR; DHTR; NR3C4; Androgen receptor; Dihydrotestosterone receptor; Nuclear receptor subfamily 3 group C member 4
Source: Rabbit
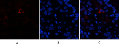
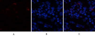
Dilutions: IF: 1:50-200 WB 1:500-2000, ELISA 1:10000-20000 IHC 1:50-300
Immunogen: Synthesized peptide derived from the Internal region of human AR.
Storage: -20°C/1 year
Clonality: Polyclonal
Isotype: IgG
Concentration: 1 mg/ml
Observed Band: 99kD
GeneID: 367
Human Swiss-Prot No: P10275
Cellular localization: Nucleus . Cytoplasm . Detected at the promoter of target genes (PubMed:25091737). Predominantly cytoplasmic in unligated form but translocates to the nucleus upon ligand-binding. Can also translocate to the nucleus in unligated form in the presence of RACK1. .
Background: The androgen receptor gene is more than 90 kb long and codes for a protein that has 3 major functional domains: the N-terminal domain, DNA-binding domain, and androgen-binding domain. The protein functions as a steroid-hormone activated transcription factor. Upon binding the hormone ligand, the receptor dissociates from accessory proteins, translocates into the nucleus, dimerizes, and then stimulates transcription of androgen responsive genes. This gene contains 2 polymorphic trinucleotide repeat segments that encode polyglutamine and polyglycine tracts in the N-terminal transactivation domain of its protein. Expansion of the polyglutamine tract from the normal 9-34 repeats to the pathogenic 38-62 repeats causes spinal bulbar muscular atrophy (Kennedy disease). Mutations in this gene are also associated with complete androgen insensitivity (CAIS). Two alternatively spliced variants encoding distinct isoform