Products

Histone H2A rabbit pAb
One-click to copy product information
ES4230
Size: Price:
50 µL $148.00
100 µL $248.00

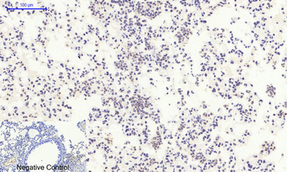
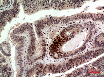
Overview

Product name: Histone H2A rabbit pAb
Reactivity: Human;Mouse;Rat
Alternative Names: HIST1H2AG; H2AFP; HIST1H2AI; H2AFC; HIST1H2AK; H2AFD; HIST1H2AL; H2AFI; HIST1H2AM; H2AFN; Histone H2A type 1; H2A.1; Histone H2A/p
Source: Rabbit
Dilutions: Western Blot: 1/500 - 1/2000. IHC-p: 1/100-1/300. ELISA: 1/20000. Not yet tested in other applications.
Immunogen: Synthesized peptide derived from the Internal region of human Histone H2A. 20-50
Storage: -20°C/1 year
Clonality: Polyclonal
Isotype: IgG
Concentration: 1 mg/ml
Observed Band: 15kD
GeneID: 8329/8330/8332/8336/8969
Human Swiss-Prot No: P0C0S8
Cellular localization: Nucleus. Chromosome.
Background: Histones are basic nuclear proteins that are responsible for the nucleosome structure of the chromosomal fiber in eukaryotes. Two molecules of each of the four core histones (H2A, H2B, H3, and H4) form an octamer, around which approximately 146 bp of DNA is wrapped in repeating units, called nucleosomes. The linker histone, H1, interacts with linker DNA between nucleosomes and functions in the compaction of chromatin into higher order structures. This gene is intronless and encodes a replication-dependent histone that is a member of the histone H2A family. Transcripts from this gene lack polyA tails but instead contain a palindromic termination element. This gene is found in the small histone gene cluster on chromosome 6p22-p21.3. [provided by RefSeq, Aug 2015],