$148.00/50µL $248.00/100µL
| 50 µL | $148.00 |
| 100 µL | $248.00 |
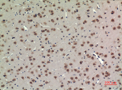
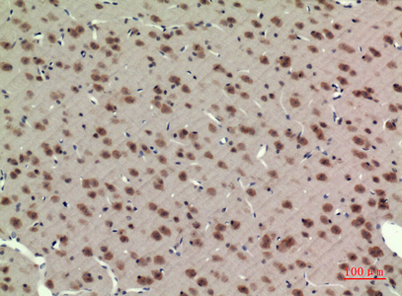
| Product name: | BMAL1 rabbit pAb |
| Reactivity: | Human;Mouse;Rat |
| Alternative Names: | ARNTL; BHLHE5; BMAL1; MOP3; PASD3; Aryl hydrocarbon receptor nuclear translocator-like protein 1; Basic-helix-loop-helix-PAS protein MOP3; Brain and muscle ARNT-like 1Class E basic helix-loop-helix protein 5; bHLHe5; Member of PAS protein 3; PAS domain-containing protein 3; bHLH-PAS protein JAP3 |
| Source: | Rabbit |
| Dilutions: | Western Blot: 1/500 - 1/2000. IHC-p: 1/100-1/300. ELISA: 1/20000. Not yet tested in other applications. |
| Immunogen: | The antiserum was produced against synthesized peptide derived from human BMAL1 around the non-acetylation site of Lys538. AA range:501-550 |
| Storage: | -20°C/1 year |
| Clonality: | Polyclonal |
| Isotype: | IgG |
| Concentration: | 1 mg/ml |
| Observed Band: | 69kD |
| GeneID: | 406 |
| Human Swiss-Prot No: | O00327 |
| Cellular localization: | Nucleus . Cytoplasm . Nucleus, PML body . Shuttles between the nucleus and the cytoplasm and this nucleocytoplasmic shuttling is essential for the nuclear accumulation of CLOCK, target gene transcription and the degradation of the CLOCK-ARNTL/BMAL1 heterodimer. The sumoylated form localizes in the PML body. Sequestered to the cytoplasm in the presence of ID2. . |
| Background: | The protein encoded by this gene is a basic helix-loop-helix protein that forms a heterodimer with CLOCK. This heterodimer binds E-box enhancer elements upstream of Period (PER1, PER2, PER3) and Cryptochrome (CRY1, CRY2) genes and activates transcription of these genes. PER and CRY proteins heterodimerize and repress their own transcription by interacting in a feedback loop with CLOCK/ARNTL complexes. Defects in this gene have been linked to infertility, problems with gluconeogenesis and lipogenesis, and altered sleep patterns. Several transcript variants encoding different isoforms have been found for this gene. [provided by RefSeq, Jul 2014], |



