$148.00/50µL $248.00/100µL
| 50 µL | $148.00 |
| 100 µL | $248.00 |
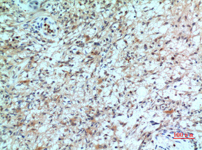
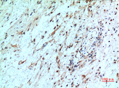
| Product name: | IL-8Rβ rabbit pAb |
| Reactivity: | Human;Rat;Mouse; |
| Alternative Names: | CXCR2; IL8RB; C-X-C chemokine receptor type 2; CXC-R2; CXCR-2; CDw128b; GRO/MGSA receptor; High affinity interleukin-8 receptor B; IL-8R B; IL-8 receptor type 2; CD182 |
| Source: | Rabbit |
| Dilutions: | Western Blot: 1/500 - 1/2000. IHC-p: 1/100-1/300. ELISA: 1/20000. Not yet tested in other applications. |
| Immunogen: | The antiserum was produced against synthesized peptide derived from the N-terminal region of human CXCR2. AA range:1-50 |
| Storage: | -20°C/1 year |
| Clonality: | Polyclonal |
| Isotype: | IgG |
| Concentration: | 1 mg/ml |
| Observed Band: | 40kD |
| GeneID: | 3579 |
| Human Swiss-Prot No: | P25025 |
| Cellular localization: | Cell membrane; Multi-pass membrane protein. |
| Background: | C-X-C motif chemokine receptor 2(CXCR2) Homo sapiens The protein encoded by this gene is a member of the G-protein-coupled receptor family. This protein is a receptor for interleukin 8 (IL8). It binds to IL8 with high affinity, and transduces the signal through a G-protein activated second messenger system. This receptor also binds to chemokine (C-X-C motif) ligand 1 (CXCL1/MGSA), a protein with melanoma growth stimulating activity, and has been shown to be a major component required for serum-dependent melanoma cell growth. This receptor mediates neutrophil migration to sites of inflammation. The angiogenic effects of IL8 in intestinal microvascular endothelial cells are found to be mediated by this receptor. Knockout studies in mice suggested that this receptor controls the positioning of oligodendrocyte precursors in developing spinal cord by arresting their migration. This gene, IL8RA, a gene encoding another high affinity IL8 receptor, as |



