$148.00/50µL $248.00/100µL
| 50 µL | $148.00 |
| 100 µL | $248.00 |
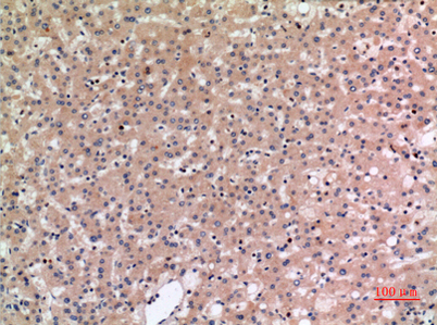
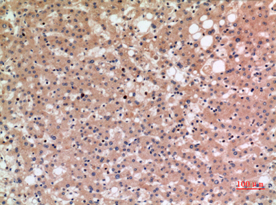
| Product name: | NTCP rabbit pAb |
| Reactivity: | Human;Rat;Mouse; |
| Alternative Names: | SLC10A1; NTCP; GIG29; Sodium/bile acid cotransporter; Cell growth-inhibiting gene 29 protein; Na(+)/bile acid cotransporter; Na(+)/taurocholate transport protein; Sodium/taurocholate cotransporting polypeptide; Solute carrier family 10 member 1 |
| Source: | Rabbit |
| Dilutions: | Western Blot: 1/500 - 1/2000. IHC-p: 1:100-300 ELISA: 1/20000. IF 1:100-300 Not yet tested in other applications. |
| Immunogen: | The antiserum was produced against synthesized peptide derived from the C-terminal region of human SLC10A1. AA range:281-330 |
| Storage: | -20°C/1 year |
| Clonality: | Polyclonal |
| Isotype: | IgG |
| Concentration: | 1 mg/ml |
| Observed Band: | 38kD |
| GeneID: | 6554 |
| Human Swiss-Prot No: | Q14973 |
| Cellular localization: | Cell membrane ; Multi-pass membrane protein. |
| Background: | The protein encoded by this gene belongs to the sodium/bile acid cotransporter family, which are integral membrane glycoproteins that participate in the enterohepatic circulation of bile acids. Two homologous transporters are involved in the reabsorption of bile acids; the ileal sodium/bile acid cotransporter with an apical cell localization that absorbs bile acids from the intestinal lumen, bile duct and kidney, and the liver-specific sodium/bile acid cotransporter, represented by this protein, that is found in the basolateral membranes of hepatocytes. Bile acids are the catabolic product of cholesterol metabolism, hence this protein is important for cholesterol homeostasis. [provided by RefSeq, Oct 2011], |



