$148.00/50µL $248.00/100µL
| 50 µL | $148.00 |
| 100 µL | $248.00 |
| Product name: | MCM7 rabbit pAb |
| Reactivity: | Human;Mouse;Rat |
| Alternative Names: | MCM7; CDC47; MCM2; DNA replication licensing factor MCM7; CDC47 homolog; P1.1-MCM3 |
| Source: | Rabbit |
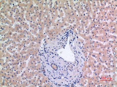
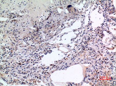
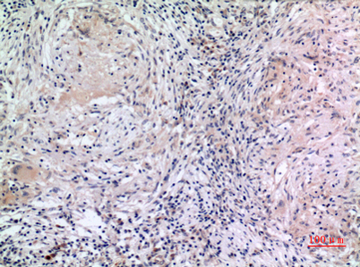
| Dilutions: | Western Blot: 1/500 - 1/2000. IHC-p: 1/100-1/300. ELISA: 1/20000. Not yet tested in other applications. |
| Immunogen: | The antiserum was produced against synthesized peptide derived from the Internal region of human MCM7. AA range:491-540 |
| Storage: | -20°C/1 year |
| Clonality: | Polyclonal |
| Isotype: | IgG |
| Concentration: | 1 mg/ml |
| Observed Band: | 81kD |
| GeneID: | 4176 |
| Human Swiss-Prot No: | P33993 |
| Cellular localization: | Nucleus . Chromosome . Associated with chromatin before the formation of nuclei and detaches from it as DNA replication progresses. . |
| Background: | The protein encoded by this gene is one of the highly conserved mini-chromosome maintenance proteins (MCM) that are essential for the initiation of eukaryotic genome replication. The hexameric protein complex formed by the MCM proteins is a key component of the pre-replication complex (pre_RC) and may be involved in the formation of replication forks and in the recruitment of other DNA replication related proteins. The MCM complex consisting of this protein and MCM2, 4 and 6 proteins possesses DNA helicase activity, and may act as a DNA unwinding enzyme. Cyclin D1-dependent kinase, CDK4, is found to associate with this protein, and may regulate the binding of this protein with the tumorsuppressor protein RB1/RB. Alternatively spliced transcript variants encoding distinct isoforms have been reported. [provided by RefSeq, Jul 2008], |



