$148.00/50µL $248.00/100µL
| 50 µL | $148.00 |
| 100 µL | $248.00 |
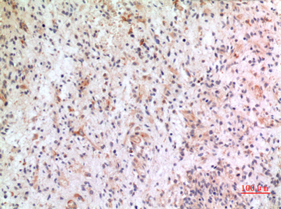
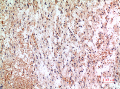
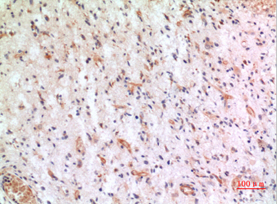
| Product name: | Fractalkine rabbit pAb |
| Reactivity: | Human;Rat;Mouse; |
| Alternative Names: | CX3CL1; FKN; NTT; SCYD1; A-152E5.2; Fractalkine; C-X3-C motif chemokine 1; CX3C membrane-anchored chemokine; Neurotactin; Small-inducible cytokine D1 |
| Source: | Rabbit |
| Dilutions: | Western Blot: 1/500 - 1/2000. IHC-p: 1/100-1/300. ELISA: 1/20000. Not yet tested in other applications. |
| Immunogen: | The antiserum was produced against synthesized peptide derived from the Internal region of human CX3CL1. AA range:231-280 |
| Storage: | -20°C/1 year |
| Clonality: | Polyclonal |
| Isotype: | IgG |
| Concentration: | 1 mg/ml |
| Observed Band: | 42kD |
| GeneID: | 6376 |
| Human Swiss-Prot No: | P78423 |
| Cellular localization: | Cell membrane ; Single-pass type I membrane protein .; [Processed fractalkine]: Secreted . |
| Background: | function:The soluble form is chemotactic for T-cells and monocytes, but not for neutrophils. The membrane-bound form promotes adhesion of those leukocytes to endothelial cells. May play a role in regulating leukocyte adhesion and migration processes at the endothelium. Binds to CX3CR1.,induction:By TNF and IL-1 in pulmonary endothelial cells and umbilical vein endothelial cells.,online information:CX3CL1 entry,PTM:A soluble short 95 kDa form may be released by proteolytic cleavage from the long membrane-anchored form.,similarity:Belongs to the intercrine delta family.,subunit:Monomer.,tissue specificity:Small intestine, colon, testis, prostate, heart, brain, lung, skeletal muscle, kidney and pancreas., |



