Products

Bcl-6 rabbit pAb
One-click to copy product information
ES4041
Size: Price:
50 µL $148.00
100 µL $248.00

Overview

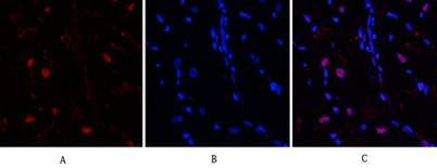
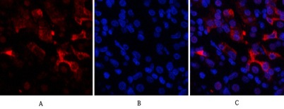
Product name: Bcl-6 rabbit pAb
Reactivity: Human;Mouse;Rat
Alternative Names: BCL6; BCL5; LAZ3; ZBTB27; ZNF51; B-cell lymphoma 6 protein; BCL-6; B-cell lymphoma 5 protein; BCL-5; Protein LAZ-3; Zinc finger and BTB domain-containing protein 27; Zinc finger protein 51
Source: Rabbit
Dilutions: IF: 1:50-200 Western Blot: 1/500 - 1/2000. IHC-p: 1/100-1/300. ELISA: 1/20000. Not yet tested in other applications.
Immunogen: The antiserum was produced against synthesized peptide derived from the Internal region of human BCL6. AA range:271-320
Storage: -20°C/1 year
Clonality: Polyclonal
Isotype: IgG
Concentration: 1 mg/ml
Observed Band: 78kD
GeneID: 604
Human Swiss-Prot No: P41182
Cellular localization: Nucleus .
Background: The protein encoded by this gene is a zinc finger transcription factor and contains an N-terminal POZ domain. This protein acts as a sequence-specific repressor of transcription, and has been shown to modulate the transcription of STAT-dependent IL-4 responses of B cells. This protein can interact with a variety of POZ-containing proteins that function as transcription corepressors. This gene is found to be frequently translocated and hypermutated in diffuse large-cell lymphoma (DLCL), and may be involved in the pathogenesis of DLCL. Alternatively spliced transcript variants encoding different protein isoforms have been found for this gene. [provided by RefSeq, Aug 2015],