$148.00/50µL $248.00/100µL
| 50 µL | $148.00 |
| 100 µL | $248.00 |
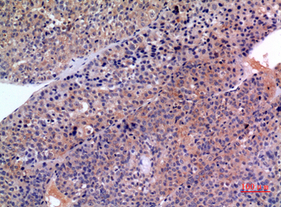
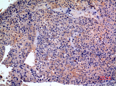
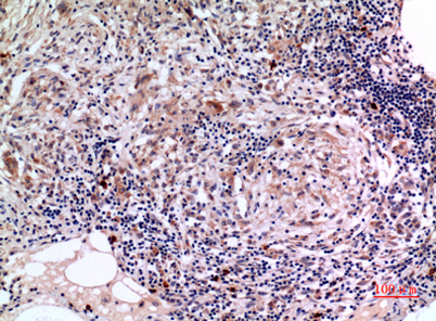
| Product name: | SCCA1/2 rabbit pAb |
| Reactivity: | Human;Rat;Mouse; |
| Alternative Names: | SERPINB3; SCCA; SCCA1; Serpin B3; Protein T4-A; Squamous cell carcinoma antigen 1; SCCA-1 |
| Source: | Rabbit |
| Dilutions: | Western Blot: 1/500 - 1/2000. IHC-p: 1/100-1/300. ELISA: 1/20000. Not yet tested in other applications. |
| Immunogen: | The antiserum was produced against synthesized peptide derived from the Internal region of human SERPINB3/4. AA range:111-160 |
| Storage: | -20°C/1 year |
| Clonality: | Polyclonal |
| Isotype: | IgG |
| Concentration: | 1 mg/ml |
| Observed Band: | 45kD |
| GeneID: | 6317 |
| Human Swiss-Prot No: | P29508 |
| Cellular localization: | Cytoplasm . Seems to also be secreted in plasma by cancerous cells but at a low level. |
| Background: | developmental stage:Its expression is closely related to cellular differentiation in both normal and malignant squamous cells.,function:May act as a protease inhibitor to modulate the host immune response against tumor cells.,similarity:Belongs to the serpin family.,similarity:Belongs to the serpin family. Ov-serpin subfamily.,subcellular location:Seems to also be secreted in plasma by cancerous cells but at a low level.,tissue specificity:Squamous cells. Expressed in some hepatocellular carcinoma (at protein level)., |



