$148.00/50µL $248.00/100µL
| 50 µL | $148.00 |
| 100 µL | $248.00 |
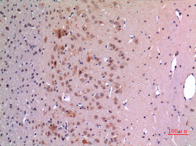
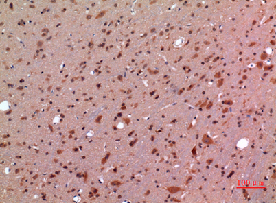
| Product name: | GDF-5 rabbit pAb |
| Reactivity: | Human;Mouse;Rat |
| Alternative Names: | GDF5; CDMP1; Growth/differentiation factor 5; GDF-5; Cartilage-derived morphogenetic protein 1; CDMP-1; Radotermin |
| Source: | Rabbit |
| Dilutions: | Western Blot: 1/500 - 1/2000. IHC-p: 1/100-1/300. ELISA: 1/20000. Not yet tested in other applications. |
| Immunogen: | The antiserum was produced against synthesized peptide derived from the Internal region of human GDF5. AA range:361-410 |
| Storage: | -20°C/1 year |
| Clonality: | Polyclonal |
| Isotype: | IgG |
| Concentration: | 1 mg/ml |
| Observed Band: | 55kD |
| GeneID: | 8200 |
| Human Swiss-Prot No: | P43026 |
| Cellular localization: | Secreted . Cell membrane . |
| Background: | This gene encodes a secreted ligand of the TGF-beta (transforming growth factor-beta) superfamily of proteins. Ligands of this family bind various TGF-beta receptors leading to recruitment and activation of SMAD family transcription factors that regulate gene expression. The encoded preproprotein is proteolytically processed to generate each subunit of the disulfide-linked homodimer. This protein regulates the development of numerous tissue and cell types, including cartilage, joints, brown fat, teeth, and the growth of neuronal axons and dendrites. Mutations in this gene are associated with acromesomelic dysplasia, brachydactyly, chondrodysplasia, multiple synostoses syndrome, proximal symphalangism, and susceptibility to osteoarthritis. [provided by RefSeq, Aug 2016], |



