$148.00/50µL $248.00/100µL
| 50 µL | $148.00 |
| 100 µL | $248.00 |
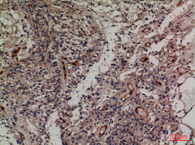
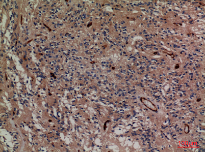
| Product name: | SNAP 23 rabbit pAb |
| Reactivity: | Human;Rat;Mouse; |
| Alternative Names: | SNAP23; Synaptosomal-associated protein 23; SNAP-23; Vesicle-membrane fusion protein SNAP-23 |
| Source: | Rabbit |
| Dilutions: | Western Blot: 1/500 - 1/2000. IHC-p: 1:100-300 ELISA: 1/20000. Not yet tested in other applications. |
| Immunogen: | The antiserum was produced against synthesized peptide derived from the C-terminal region of human SNAP23. AA range:151-200 |
| Storage: | -20°C/1 year |
| Clonality: | Polyclonal |
| Isotype: | IgG |
| Concentration: | 1 mg/ml |
| Observed Band: | 25kD |
| GeneID: | 8773 |
| Human Swiss-Prot No: | O00161 |
| Cellular localization: | Cell membrane; Peripheral membrane protein. Cell membrane; Lipid-anchor. Cell junction, synapse, synaptosome. Mainly localized to the plasma membrane. |
| Background: | Specificity of vesicular transport is regulated, in part, by the interaction of a vesicle-associated membrane protein termed synaptobrevin/VAMP with a target compartment membrane protein termed syntaxin. These proteins, together with SNAP25 (synaptosome-associated protein of 25 kDa), form a complex which serves as a binding site for the general membrane fusion machinery. Synaptobrevin/VAMP and syntaxin are believed to be involved in vesicular transport in most, if not all cells, while SNAP25 is present almost exclusively in the brain, suggesting that a ubiquitously expressed homolog of SNAP25 exists to facilitate transport vesicle/target membrane fusion in other tissues. The protein encoded by this gene is structurally and functionally similar to SNAP25 and binds tightly to multiple syntaxins and synaptobrevins/VAMPs. It is an essential component of the high affinity receptor for the |



