$148.00/50µL $248.00/100µL
| 50 µL | $148.00 |
| 100 µL | $248.00 |
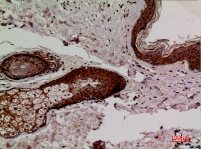
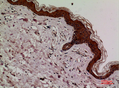
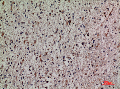
| Product name: | Keap-1 rabbit pAb |
| Reactivity: | Human;Mouse;Rat |
| Alternative Names: | KEAP1; INRF2; KIAA0132; KLHL19; Kelch-like ECH-associated protein 1; Cytosolic inhibitor of Nrf2; INrf2; Kelch-like protein 19 |
| Source: | Rabbit |
| Dilutions: | Western Blot: 1/500 - 1/2000. IHC-p: 1:100-300 ELISA: 1/20000. Not yet tested in other applications. |
| Immunogen: | The antiserum was produced against synthesized peptide derived from the Internal region of human KEAP1. AA range:411-460 |
| Storage: | -20°C/1 year |
| Clonality: | Polyclonal |
| Isotype: | IgG |
| Concentration: | 1 mg/ml |
| Observed Band: | 70kD |
| GeneID: | 9817 |
| Human Swiss-Prot No: | Q14145 |
| Cellular localization: | Cytoplasm . Nucleus . Mainly cytoplasmic (PubMed:15601839). In response to selective autophagy, relocalizes to inclusion bodies following interaction with SQSTM1/p62 (PubMed:20452972). . |
| Background: | This gene encodes a protein containing KELCH-1 like domains, as well as a BTB/POZ domain. Kelch-like ECH-associated protein 1 interacts with NF-E2-related factor 2 in a redox-sensitive manner and the dissociation of the proteins in the cytoplasm is followed by transportation of NF-E2-related factor 2 to the nucleus. This interaction results in the expression of the catalytic subunit of gamma-glutamylcysteine synthetase. Two alternatively spliced transcript variants encoding the same isoform have been found for this gene. [provided by RefSeq, Jul 2008], |



