$148.00/50µL $248.00/100µL
| 50 µL | $148.00 |
| 100 µL | $248.00 |
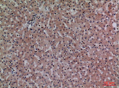
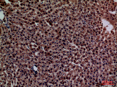
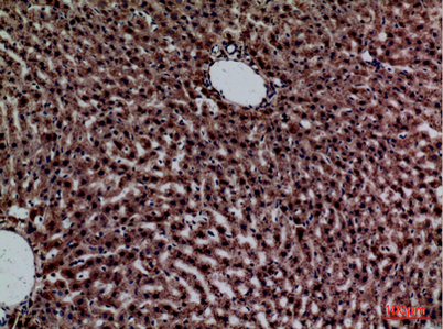
| Product name: | CRP rabbit pAb |
| Reactivity: | Human;Rat |
| Alternative Names: | CRP; PTX1; C-reactive protein |
| Source: | Rabbit |
| Dilutions: | Western Blot: 1/500 - 1/2000. IHC-p: 1:100-300 ELISA: 1/20000. Not yet tested in other applications. |
| Immunogen: | The antiserum was produced against synthesized peptide derived from the Internal region of human CRP. AA range:101-150 |
| Storage: | -20°C/1 year |
| Clonality: | Polyclonal |
| Isotype: | IgG |
| Concentration: | 1 mg/ml |
| Observed Band: | 25kD |
| GeneID: | 1401 |
| Human Swiss-Prot No: | P02741 |
| Cellular localization: | Secreted. |
| Background: | C-reactive protein(CRP) Homo sapiens The protein encoded by this gene belongs to the pentaxin family. It is involved in several host defense related functions based on its ability to recognize foreign pathogens and damaged cells of the host and to initiate their elimination by interacting with humoral and cellular effector systems in the blood. Consequently, the level of this protein in plasma increases greatly during acute phase response to tissue injury, infection, or other inflammatory stimuli. [provided by RefSeq, Sep 2009], |



