$148.00/50µL $248.00/100µL
| 50 µL | $148.00 |
| 100 µL | $248.00 |
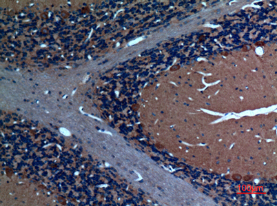
| Product name: | Sg III rabbit pAb |
| Reactivity: | Human;Rat |
| Alternative Names: | SCG3; Secretogranin-3; Secretogranin III; SgIII |
| Source: | Rabbit |
| Dilutions: | Western Blot: 1/500 - 1/2000. IHC-p: 1:100-300 ELISA: 1/20000. Not yet tested in other applications. |
| Immunogen: | The antiserum was produced against synthesized peptide derived from the N-terminal region of human SCG3. AA range:21-70 |
| Storage: | -20°C/1 year |
| Clonality: | Polyclonal |
| Isotype: | IgG |
| Concentration: | 1 mg/ml |
| Observed Band: | 53kD |
| GeneID: | 29106 |
| Human Swiss-Prot No: | Q8WXD2 |
| Cellular localization: | Cytoplasmic vesicle, secretory vesicle . Cytoplasmic vesicle, secretory vesicle membrane ; Peripheral membrane protein . Secreted . Associated with the secretory granule membrane through direct binding to cholesterol-enriched lipid rafts. . |
| Background: | secretogranin III(SCG3) Homo sapiens The protein encoded by this gene is a member of the chromogranin/secretogranin family of neuroendocrine secretory proteins. Granins may serve as precursors for biologically active peptides. Some granins have been shown to function as helper proteins in sorting and proteolytic processing of prohormones; however, the function of this protein is unknown. Two transcript variants encoding different isoforms have been found for this gene. [provided by RefSeq, Sep 2009], |



