$148.00/50µL $248.00/100µL
| 50 µL | $148.00 |
| 100 µL | $248.00 |
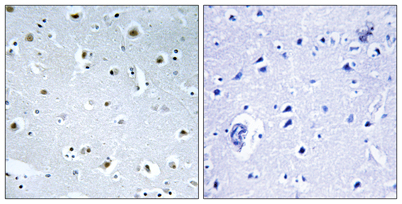
| Product name: | GCP3 rabbit pAb |
| Reactivity: | Human;Mouse |
| Alternative Names: | TUBGCP3; GCP3; Gamma-tubulin complex component 3; GCP-3; hGCP3; Gamma-ring complex protein 104 kDa; h104p; hGrip104; Spindle pole body protein Spc98 homolog; hSpc98 |
| Source: | Rabbit |
| Dilutions: | Western Blot: 1/500 - 1/2000. Immunohistochemistry: 1/100 - 1/300. ELISA: 1/20000. Not yet tested in other applications. |
| Immunogen: | The antiserum was produced against synthesized peptide derived from human TUBGCP3. AA range:201-250 |
| Storage: | -20°C/1 year |
| Clonality: | Polyclonal |
| Isotype: | IgG |
| Concentration: | 1 mg/ml |
| Observed Band: | 105kD |
| GeneID: | 10426 |
| Human Swiss-Prot No: | Q96CW5 |
| Cellular localization: | Cytoplasm, cytoskeleton, microtubule organizing center, centrosome . |
| Background: | alternative products:Experimental confirmation may be lacking for some isoforms,function:Gamma-tubulin complex is necessary for microtubule nucleation at the centrosome.,similarity:Belongs to the GCP family.,subunit:Gamma-tubulin complex is composed of gamma-tubulin, GCP2, GCP3, GCP4, GCP5 and GCP6.,tissue specificity:Ubiquitously expressed., |