$148.00/50µL $248.00/100µL
| 50 µL | $148.00 |
| 100 µL | $248.00 |
| Product name: | DUSP6 rabbit pAb |
| Reactivity: | Human;Rat;Mouse |
| Alternative Names: | DUSP6; MKP3; PYST1; Dual specificity protein phosphatase 6; Dual specificity protein phosphatase PYST1; Mitogen-activated protein kinase phosphatase 3; MAP kinase phosphatase 3; MKP-3 |
| Source: | Rabbit |
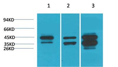
| Dilutions: | WB 1:1000-3000 |
| Immunogen: | Synthetic Peptide of DUSP6 |
| Storage: | -20°C/1 year |
| Clonality: | Polyclonal |
| Isotype: | IgG |
| Concentration: | 1 mg/ml |
| Observed Band: | 42,44kD |
| GeneID: | 1848 |
| Human Swiss-Prot No: | Q16828 |
| Cellular localization: | Cytoplasm . |
| Background: | The protein encoded by this gene is a member of the dual specificity protein phosphatase subfamily. These phosphatases inactivate their target kinases by dephosphorylating both the phosphoserine/threonine and phosphotyrosine residues. They negatively regulate members of the mitogen-activated protein (MAP) kinase superfamily (MAPK/ERK, SAPK/JNK, p38), which are associated with cellular proliferation and differentiation. Different members of the family of dual specificity phosphatases show distinct substrate specificities for various MAP kinases, different tissue distribution and subcellular localization, and different modes of inducibility of their expression by extracellular stimuli. This gene product inactivates ERK2, is expressed in a variety of tissues with the highest levels in heart and pancreas, and unlike most other members of this family, is localized in the cytoplasm. Mutations in t |