$148.00/50µL $248.00/100µL
| 50 µL | $148.00 |
| 100 µL | $248.00 |
| Product name: | GABA A Receptor α4 rabbit pAb |
| Reactivity: | Human;Rat;Mouse |
| Alternative Names: | GABRA4; Gamma-aminobutyric acid receptor subunit alpha-4; GABA(A) receptor subunit alpha-4 |
| Source: | Rabbit |
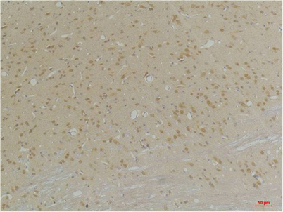
| Dilutions: | WB 1:1000-2000, IHC 1:100-200 |
| Immunogen: | Synthetic Peptide of GABA A Receptor α4 AA range: 149-199 |
| Storage: | -20°C/1 year |
| Clonality: | Polyclonal |
| Isotype: | IgG |
| Concentration: | 1 mg/ml |
| Observed Band: | 62kD |
| GeneID: | 2557 |
| Human Swiss-Prot No: | P48169 |
| Cellular localization: | Cell junction, synapse, postsynaptic cell membrane; Multi-pass membrane protein. Cell membrane; Multi-pass membrane protein. |
| Background: | Gamma-aminobutyric acid (GABA) is the major inhibitory neurotransmitter in the mammalian brain where it acts at GABA-A receptors, which are ligand-gated chloride channels. Chloride conductance of these channels can be modulated by agents such as benzodiazepines that bind to the GABA-A receptor. At least 16 distinct subunits of GABA-A receptors have been identified. This gene encodes subunit alpha-4, which is involved in the etiology of autism and eventually increases autism risk through interaction with another subunit, gamma-aminobutyric acid receptor beta-1 (GABRB1). Alternatively spliced transcript variants encoding different isoforms have been found in this gene.[provided by RefSeq, Feb 2011], |


