$148.00/50µL $248.00/100µL
| 50 µL | $148.00 |
| 100 µL | $248.00 |
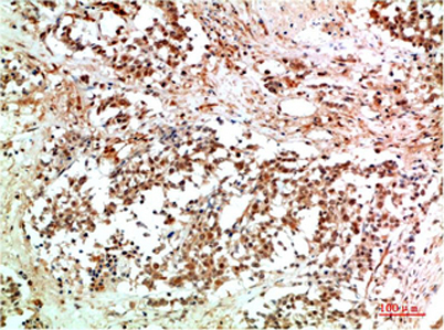
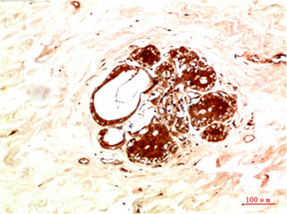
| Product name: | JAK2 Rabbit rabbit pAb |
| Reactivity: | Human;Mouse;Rat |
| Alternative Names: | Tyrosine-protein kinase JAK2 (EC 2.7.10.2;Janus kinase 2;JAK-2) |
| Source: | Rabbit |
| Dilutions: | IHC-p 1:50-300 |
| Immunogen: | Recombinant Protein of JAK2 |
| Storage: | -20°C/1 year |
| Clonality: | Polyclonal |
| Isotype: | IgG |
| Concentration: | 1 mg/ml |
| Observed Band: | 120kD |
| GeneID: | 3717 |
| Human Swiss-Prot No: | O60674 |
| Cellular localization: | Endomembrane system ; Peripheral membrane protein . Cytoplasm . Nucleus . |
| Background: | This gene product is a protein tyrosine kinase involved in a specific subset of cytokine receptor signaling pathways. It has been found to be constituitively associated with the prolactin receptor and is required for responses to gamma interferon. Mice that do not express an active protein for this gene exhibit embryonic lethality associated with the absence of definitive erythropoiesis. [provided by RefSeq, Jul 2008], |