$148.00/50µL $248.00/100µL
| 50 µL | $148.00 |
| 100 µL | $248.00 |
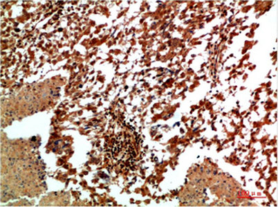
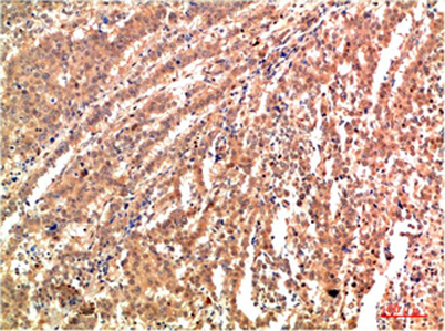
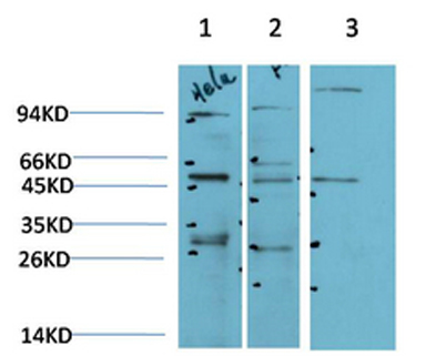
| Product name: | JNK2 Rabbit rabbit pAb |
| Reactivity: | Human;Mouse;Rat |
| Alternative Names: | Mitogen-activated protein kinase 9 (MAP kinase 9;MAPK 9;EC 2.7.11.24;JNK-55;Stress-activated protein kinase 1a;SAPK1a;Stress-activated protein kinase JNK2;c-Jun N-terminal kinase 2) |
| Source: | Rabbit |
| Dilutions: | WB 1:500-2000,IHC-p 1:50-300 |
| Immunogen: | Recombinant Protein of JNK2 |
| Storage: | -20°C/1 year |
| Clonality: | Polyclonal |
| Isotype: | IgG |
| Concentration: | 1 mg/ml |
| Observed Band: | 46,54kD |
| GeneID: | 5601 |
| Human Swiss-Prot No: | P45984 |
| Cellular localization: | Cytoplasm . Nucleus . Colocalizes with POU5F1 in the nucleus. . |
| Background: | The protein encoded by this gene is a member of the MAP kinase family. MAP kinases act as an integration point for multiple biochemical signals, and are involved in a wide variety of cellular processes such as proliferation, differentiation, transcription regulation and development. This kinase targets specific transcription factors, and thus mediates immediate-early gene expression in response to various cell stimuli. It is most closely related to MAPK8, both of which are involved in UV radiation induced apoptosis, thought to be related to the cytochrome c-mediated cell death pathway. This gene and MAPK8 are also known as c-Jun N-terminal kinases. This kinase blocks the ubiquitination of tumor suppressor p53, and thus it increases the stability of p53 in nonstressed cells. Studies of this gene's mouse counterpart suggest a key role in T-cell differentiation. Several alternative |


