$148.00/50µL $248.00/100µL
| 50 µL | $148.00 |
| 100 µL | $248.00 |
| Product name: | MEK-5 rabbit pAb |
| Reactivity: | Human;Mouse;Rat |
| Alternative Names: | MAP2K5; MEK5; MKK5; PRKMK5; Dual specificity mitogen-activated protein kinase kinase 5; MAP kinase kinase 5; MAPKK 5; MAPK/ERK kinase 5; MEK 5 |
| Source: | Rabbit |
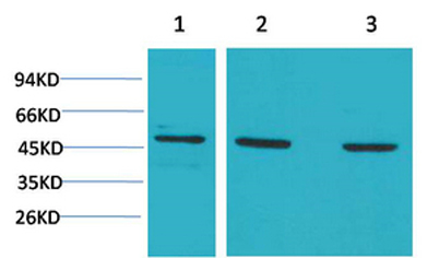
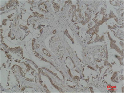
| Dilutions: | WB: 1:1000-2000 IHC: 1:200-500 |
| Immunogen: | Recombinant Protein of MEK-5 |
| Storage: | -20°C/1 year |
| Clonality: | Polyclonal |
| Isotype: | IgG |
| Observed Band: | 49kD |
| GeneID: | 5067 |
| Human Swiss-Prot No: | Q13163 |
| Cellular localization: | nucleus,cytoplasm,spindle,cytosol, |
| Background: | The protein encoded by this gene is a dual specificity protein kinase that belongs to the MAP kinase kinase family. This kinase specifically interacts with and activates MAPK7/ERK5. This kinase itself can be phosphorylated and activated by MAP3K3/MEKK3, as well as by atypical protein kinase C isoforms (aPKCs). The signal cascade mediated by this kinase is involved in growth factor stimulated cell proliferation and muscle cell differentiation. Three alternatively spliced transcript variants of this gene encoding distinct isoforms have been described. [provided by RefSeq, May 2011], |

