$148.00/50µL $248.00/100µL
| 50 µL | $148.00 |
| 100 µL | $248.00 |
| Product name: | SLUG rabbit pAb |
| Reactivity: | Human;Mouse;Rat |
| Alternative Names: | SNAI2; SLUG; SLUGH; Zinc finger protein SNAI2; Neural crest transcription factor Slug; Protein snail homolog 2 |
| Source: | Rabbit |
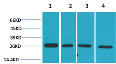
| Dilutions: | WB: 1:500-1000 IHC: 1:200-500 |
| Immunogen: | Recombinant Protein of SLUG |
| Storage: | -20°C/1 year |
| Clonality: | Polyclonal |
| Isotype: | IgG |
| Observed Band: | 30kD |
| GeneID: | 6591 |
| Human Swiss-Prot No: | O43623 |
| Cellular localization: | Nucleus . Cytoplasm. Observed in discrete foci in interphase nuclei. These nuclear foci do not overlap with the nucleoli, the SP100 and the HP1 heterochromatin or the coiled body, suggesting SNAI2 is associated with active transcription or active splicing regions. |
| Background: | snail family transcriptional repressor 2(SNAI2) Homo sapiens This gene encodes a member of the Snail family of C2H2-type zinc finger transcription factors. The encoded protein acts as a transcriptional repressor that binds to E-box motifs and is also likely to repress E-cadherin transcription in breast carcinoma. This protein is involved in epithelial-mesenchymal transitions and has antiapoptotic activity. Mutations in this gene may be associated with sporatic cases of neural tube defects. [provided by RefSeq, Jul 2008], |

