$148.00/50µL $248.00/100µL
| 50 µL | $148.00 |
| 100 µL | $248.00 |
| Product name: | Histone H3 (Acetyl Lys4) rabbit pAb |
| Reactivity: | Human;Mouse;Rat |
| Alternative Names: | HIST1H3A; H3FA; HIST1H3B; H3FL; HIST1H3C; H3FC; HIST1H3D; H3FB; HIST1H3E; H3FD; HIST1H3F; H3FI; HIST1H3G; H3FH; HIST1H3H; H3FK; HIST1H3I; H3FF; HIST1H3J; H3FJ; Histone H3.1; Histone H3/a; Histone H3/b; Histone H3/c; Histone H3/d; Histone H3/f; Histone H3/h; Histone H3/i; Histone H3/j; Histone H3/k; Histone H3/l; HIST2H3A; HIST2H3C; H3F2; H3FM; HIST2H3D; Histone H3.2; Histone H3/m; Histone H3/o; H3F3A; H3.3A; H3F3; PP781; H3F3B; H3.3B; Histone H3.3;H3k4AC |
| Source: | Rabbit |
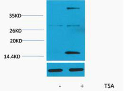
| Dilutions: | WB: 1:500-1000 |
| Immunogen: | Synthetic Peptide of Histone H3 (Acetyl Lys4) |
| Storage: | -20°C/1 year |
| Clonality: | Polyclonal |
| Isotype: | IgG |
| Observed Band: | 15-17kD |
| GeneID: | 8350/8351/8352/8353/8354/8355/8356/8357/8358/8968 |
| Human Swiss-Prot No: | P68431/Q71DI3/P84243 |
| Cellular localization: | Nucleus. Chromosome. |
| Background: | Histones are basic nuclear proteins that are responsible for the nucleosome structure of the chromosomal fiber in eukaryotes. This structure consists of approximately 146 bp of DNA wrapped around a nucleosome, an octamer composed of pairs of each of the four core histones (H2A, H2B, H3, and H4). The chromatin fiber is further compacted through the interaction of a linker histone, H1, with the DNA between the nucleosomes to form higher order chromatin structures. This gene is intronless and encodes a replication-dependent histone that is a member of the histone H3 family. Transcripts from this gene lack polyA tails; instead, they contain a palindromic termination element. This gene is found in the large histone gene cluster on chromosome 6p22-p21.3. [provided by RefSeq, Aug 2015], |